Your smile is the first thing most people will notice about you, and it’s a big key to your self-confidence. It can make a powerful first impression – so you want it to be the very best it can be!

A lot of things can impact what would otherwise be a stunning smile. These include stained, crooked, gappy, or missing teeth, or perhaps you have a gummy smile. The great news is that, just like teeth can be whitened, straightened, or replaced, a gummy smile can also be corrected by an experienced cosmetic dentist.

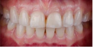
What is a Gummy Smile?

Gumlines are as individual as we are. While most people’s are average, some people have a very high gum line, some have a very low gum line, and some are uneven. A low or uneven gum line can impact your self-esteem.

A gummy smile occurs when you have a low gum line. This means that the gums rest low on and cover a large surface area of the top teeth, making them highly visible during smiling and possibly even at rest. For some people, the gum line over the teeth may be uneven, giving the appearance of different sized teeth. A gummy smile can also be associated with a more immature look, as many young children have prominent gums and small teeth before their permanent teeth erupt.

It’s important to understand that low-set gums are not considered to be a deformity. Any issue they create is purely cosmetic for most people, although in a minority of cases, the dentist may recommend correcting a low gum line if you’re experiencing certain issues with your oral health. It may be considered medically necessary for people with persistent periodontal disease that does not effectively respond to professional dental cleaning and antibiotic treatment.

What Causes Low Gums?

Low gums are not the result of poor dental health or hygiene but are rather a genetic trait that is passed from parent (or grandparent) to child. They can also occur by chance if the gums don’t recede properly during childhood when the permanent teeth erupt.

In rarer cases, certain medical conditions may cause a low gum line.

Gummy Smile

What is a Gum Lift?

Formally known as a gingival lift or gingivectomy, a gum lift is an elective, minimally invasive cosmetic dental procedure that is performed in the chair in a dental surgery.

It works by removing or reshaping a very small amount of excess gum tissue from above the front, visible teeth, revealing more of the teeth themselves for an aesthetically appealing result.

Gum contouring is another name for this procedure, however, this more commonly refers to reshaping to even out the gum line to correct asymmetry, rather than correcting a gummy smile.

Only a small amount of gum tissue needs to be removed to affect significant results. The cosmetic dentist uses tools including laser technology or ceramic soft tissue trimmers (available from premium distributors of dental supplies in Brisbane and throughout Australia) to gently remove excess tissue, reveal the teeth, and seal the gums to prevent bleeding and infection. (As there are no incisions (cuts), the gum lift results in no bleeding and very little swelling. Infection risk is very, very low). The procedure is simple and there is little or no discomfort.

The Procedure:

Modern technology means that techniques for dentistry are better than they have ever been. The cosmetic dentist will use a soft tissue trimmer (this is a type of dental bur) or a soft tissue laser to precisely remove some of the excess gum tissue that overlies the front teeth. A local anaesthetic is used so that there is no pain experienced during the process.

In the majority of cases, a gum lift is complete within an hour or two at most. Recovery time is quite fast and there should be minimal discomfort at this time. Your cosmetic dentist will prescribe or recommend a suitable over-the-counter pain reliever if necessary. The dentist will advise:

  • Eating soft foods during recovery
  • Which foods to avoid and for how long
  • Using a cold compress or ice pack
  • Gently keeping the gums clean
  • Maintaining optimal oral hygiene
  • Attending your follow up appointment/s

Benefits:

  • Improve appearance for a cleaner, more balanced smile
  • Address a single tooth or several teeth
  • Maximise oral health
  • Remove tissue damaged by gum disease
  • Boost confidence
  • Present better socially and in the workplace
  • Results usually last forever

A gum lift is performed on its own or in combination with other smile makeover procedures. It may be performed on the completion of orthodontic treatment, in tandem with bonding or veneers, or before teeth whitening.

So say goodbye to your gummy smile! Ask your dentist for advice take the next step to a healthier, happier, more confident you.

By Alana Wills on behalf of AdamDental.com.au

Alana Wills is an experienced freelance content writer who works in collaboration with www.adamdental.com.au, a leading online distributor of dental supplies in Australia.

 

Text Example

The information presented on this website is not intended as specific medical advice and is not a substitute for professional treatment or diagnosis. These statements have not been evaluated by the Food and Drug Administration. This product is not intended to diagnose, treat, cure, or prevent any disease.

Share.

Isreal olabanji a dental assistant and public health professionals and has years of experience in assisting the dentist with all sorts of dental issues.We regularly post timely and trustworthy medical information and news on Fitness, Dental care, Recipes, Child health, obstetrics, and more.

Leave A Reply