Tooth Decay is a source of concern for everyone regardless of age or gender. We all need to eat, and with our teeth in perfect condition, it is easier to masticate and enjoy the texture of our foods. However, when toothache, tooth sensitivity, and other symptoms that accompany tooth decay sets in, it becomes a chore.
Tooth decay is a common dental problem and it cuts across every age and gender. It is caused by a combination of factors and can cause a decline in life quality. However, it can be effectively prevented and treated.
To fully understand what tooth decay entails, read on. You will also get to know what can be done to prevent tooth decay, the common symptoms, how to take care of yourself, and the treatment you will probably et for tooth decay when you visit and dentist.
What is Tooth Decay?
Tooth decay is the continuous destruction of the teeth by factors such as regular consumption of sugary drinks, frequent snacking, poor dental hygiene, and bacteria. It leads to the formation of dental cavities – which can cause a lot of pain, and if left untreated, tooth loss.
An important part of tooth decay is the presence of plaque. A plaque is usually colorless and sticky. It is a film that covers the surface of the teeth and builds up when there is poor dental hygiene to form a tartar. Plaques will continue to form as long as the mouth has saliva, bacteria are present in the mouth and food particles hand around the teeth as these are what makes up a plaque.
Tooth decay encompasses the different stages of the dental issue that is caused by bacteria and can lead to tooth loss. It is usually characterized by the browning of the enamel and the subsequent hole formation, that is cavity development, on the enamel. At this stage, the decay goes beyond the enamel if not promptly treated.
Causes of Tooth Decay
It is popularly said that the cause of tooth decay is the bacteria that is protected by the plaque. However, it is more accurate to say that tooth decay is caused by poor dental hygiene as plaques cannot be left to harden into tartars when the teeth are correctly and regularly cleaned.
Tooth decay begins with the formation of plaques that comprise food particles, bacteria, and saliva. When left uncleaned, the plaques harden into hard yellowish substances that cover the white, hard part of the teeth – the enamel. This hard, yellowish substance, called the tartar protects the bacteria from being disturbed and help to hold in the acid produced by the bacteria.
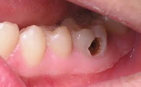
The enamel is made up of minerals – the most in the whole of the human body, especially calcium. The acid produced by the bacteria on the tooth surface breaks down the minerals steadily. This causes the enamel to have a white spot and over time, this spot becomes brownish. A hole, called a cavity, forms in the tooth. This is an avenue for the bacteria to gain entry into the tooth.
Stages of Tooth Decay
As tooth decay involves the whole tooth and not the enamel alone, the decay of the enamel may be regarded as part of the initial processes of tooth decay. Generally, tooth decay occurs in five stages and each stage depicts a level of deterioration in the normal state of the tooth.
First Stage
The first stage is the stage when the enamel is covered in plaque or tartar that protects the bacteria as it produces acid to break down the minerals of the enamel. It is at this stage that white spots appear on the enamel, announcing the breakdown of the minerals.
This is the initial stage of tooth decay that may lead to tooth loss and possibly, the spread of the bacteria to the bones of the jaw, neck, and head.
Second Stage
This stage is when the white spots on the enamel caused by demineralization begin to turn brown. It is the stage when there is a further breakdown of the minerals that form the enamel and on successful completion, cavities are formed in the teeth.
Through the cavities, bacteria can gain entry into the teeth.
Third Stage
In this stage, there are bacteria present in the teeth.
Beneath the enamel is a softer tissue layer called the Dentin. The dentin gets damaged more easily than the enamel, therefore, bacterial action on this part of the teeth is faster.
At this stage, tooth sensitivity sets in because the dentin contains tubes that are connected to teeth nerves. Hot or cold foods and drinks may begin to trigger a certain painful sensation in your teeth.
Fourth Stage
After the dentin is the pulp. It is the layer of the teeth that lie in its innermost part. This is where teeth nerves and blood vessels are situated and they are not far behind the dentin.
When the bacteria get to the pulp, they may begin to swell as a result of the irritation caused by the bacteria. The swelling, due to the confinement in the tooth, presses against the nerves, causing pain.
Fifth Stage
In this stage, the bacteria have invaded the pulp and the tissue has inflamed. Further inflammation may lead to the formation of a pus pocket at the base of the tooth. This pus pocket is called an abscess.
It is at this stage individual suffering from tooth decay experiences pain in the jaw and neck. Sometimes, there is swelling in the gum, jaw, and face. Also, the person may experience fever and pain in the neck. This is because the bacteria have spread to the bones of the jaw and neck.
Symptoms of Tooth Decay
Tooth decay may present numerous symptoms and sometimes, no symptom, depending on the stage of decay. At the initial stage of tooth decay, there is usually no symptom as the bacteria is still battling the hard enamel. However, as the decay progresses, and the bacteria is in contact with the thinner tissues where its effect can be felt by the nerves, some symptoms begin to appear.
- White or brown spots on the teeth
- Holes in the teeth
- Occasional pain in the teeth without any apparent cause.
- Tooth sensitivity
- Pain when you bite
- Fever
- Pain in the jaw and neck
Prevention of Tooth Decay
To prevent tooth decay, discourage the formation of plaques that encourage the action of the bacteria that causes tooth decay. To achieve this, practice good dental hygiene by following these tips:
- Cut down on sugary drinks and frequent snacking
Sugary drinks and snacks produce acids in the mouth when they are acted on by bacteria. When you frequently eat snacks, there are remnants of it in the crevices of your teeth. Bacteria acts on this and begins the formation of plaque and consequently produce acid that breaks down the enamel.
- Brush your teeth with fluoride toothpaste
Practice good dental hygiene by brushing your teeth at least twice daily. Also, endeavour to brush after each meal to remove any food remnant that may encourage plaque formation.
- Consume more tooth-friendly foods
Some foods are better for your teeth than others. For instance, foods that are rich in minerals such as milk, fruits, and vegetables, will help to promote the health of your teeth.
- Drink more tap water
Tap water is usually treated with fluoride which is beneficial to your teeth. Ensure to drink some tap water instead of the usual table water to get a little amount of fluoride.
- Consider using mouth wash
Mouth wash usually contains fluoride and will help to strengthen your teeth, especially if you are at risk of having tooth decay.
- Visit your dentist regularly
A regular visit to your dentist will go a long way in helping you avoid tooth decay as your doctor will be able to detect early sign of tooth decay. Also, regular visits to your dentist help you get professional teeth cleaning done.
Treatment of Tooth Decay
Since tooth decay occurs in five stages, there are five types of treatment for the stages of tooth decay. These treatments are usually peculiar to each stage and they are:
- Fluoride treatment
This treatment is suitable for the first stage of tooth decay. Fluoride treatment is done to combat the demineralization of the enamel. Fluoride strengthens the enamel to stand against the acids produced by the bacteria.
This treatment is usually gotten in a dentist’s office. However, fluoride is also available in some toothpaste.
This treatment applies to the second stage of tooth decay, when the enamel has been demineralized by the acid and cavity has formed.
Your dentist will remove every other part of your enamel that has decayed and fill the cavity with ceramic, resin, or dental amalgam. This treatment leaves your teeth as good as new.
In the third stage of tooth decay, the dentin is affected and due to the soft nature of the dentin, quick diagnosis and treatment are required.
Filling the cavity is part of the treatment at this stage. However, your dentist may find it prudent to place a crown over your teeth to protect them.
A crown covers your tooth from the top to the point where the gum begins. Before crown placement, the decay will be removed along with some healthy dentin tissues to preserve the other healthy parts of your tooth.
- Root canal
A root canal helps to remove the tissue damage done to the pulp by the bacteria. After this is done, the cavity will be filled and a crown placed over the teeth.
- Antibiotic medication
This treatment is done when an abscess has formed in the tooth. Antibiotics are prescribed after all the above treatment options have been done to address all the damage done to the tooth. The antibiotics will help to rid the tooth (and any location it has spread to) of the bacteria and treat the abscess that has already formed.
Self-care Tips for Tooth Decay
It is possible to combat tooth decay before it gets to the serious stages that require the services of a dentist. Here are some tips that may help you care for yourself when you have tooth decay.
- Practice good dental hygiene by brushing your teeth with fluoride toothpaste.
- Consume enough vitamin D as it helps to absorb calcium – an important mineral in hardening the enamel.
- Reduce your consumption of sugary foods.
- Use mild analgesic such as aspirin to deal with toothache
- Swish sesame oil around in your mouth for about 20 minutes to remove plaques from your enamel.
- Use Licorice root extract to get rid of the plaque bacteria, mutans.
Conclusion
Tooth decay occurs in people of all ages as a result of poor dental hygiene that encourages the development of plaques and the bacteria (S. mutans), that produces acid that breaks down the minerals of the enamel.
Tooth decay occurs in five stages starting from the enamel and if left untreated, could lead to the loss of the tooth and spread to the bones of the jaw and neck. It causes toothache and tooth sensitivity.
The treatment of tooth decay addresses each stage of tooth decay and it can also be prevented if good dental hygiene is practised and you pay your dentist a regular visit.
The information presented on this website is not intended as specific medical advice and is not a substitute for professional treatment or diagnosis. These statements have not been evaluated by the Food and Drug Administration. This product is not intended to diagnose, treat, cure, or prevent any disease.
 



